Noida
08048059151
+919899124178

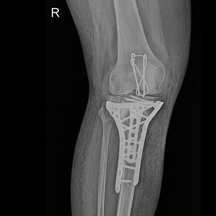
TIBIA FRACTURE PATIENT TRAVELS FROM RUDRAPUR TO NOIDA FOR SURGERY

A 54 years old female sustained complex proximal tibia fracture following a fall at home in Rudrapur.

As She was operated by Dr Pankaj kumar in 2020 for Patella fracture on the same limb, happy with her last surgery and recovery, she travelled to Noida for surgery.

After anesthesia check up, she was operated with proximal tibia plates with bone grafting. Luckily her wound healed without any complication, she is able to stand painless and walk with stick after 3 months.

Proximal tibia fracture treatment is very challenging as fracture involves joint and skin condition delays surgery or healing.

Consult Dr Pankaj Kumar for any fracture around knee, call on 9599738924 for appointment.

 2026-01-06T07:17:32

Keywords

footerhc